Єменський молекулярний біотехнолог Хашем Аль-Гайлі заявив, що вперше у світі розробив концепцію інкубатора для вирощування дітей.
За поточними підрахунками, система зможе «виносити» до 30 000 дітей на рік, а майбутні батьки спостерігатимуть за їхнім розвитком через мобільний додаток.
Про таки незвичайний винахід повідомили на сайті науково-технічного видання Science And Stuff.
Чому розробка корисна?
У світі давно точиться дискусія з приводу того, що популяція Землі скорочується. Зрештою дехто доходить висновків, що таким чином людство помалу вимирає. Винахідник станції для штучного «вирощення» дітей EctoLife каже, що створив її для продовження цієї дискусії.
За словами Аль-Гайлі, концепція штучної матки EctoLife змінить життя багатьох, хто намагається завагітніти. До того ж він каже, що концепція EctoLife допоможе залишити викидень у минулому.



Так виглядає концепція розробки EctoLife (фото: scienceandstuff.com)
«Це ідеальне рішення для жінок, яким хірургічно видалили матку через рак або інші ускладнення. Це також може допомогти розв’язувати проблеми, пов’язані з низькою кількістю сперматозоїдів», — з ентузіазмом розповідає Аль-Гайлі.
Раніше вчені демонстрували подібні технології та навіть вирощували в них ягнят. І, на думку науковця, розробка концепції EctoLife це просто наступний логічний крок.
Яким буде процес запліднення?
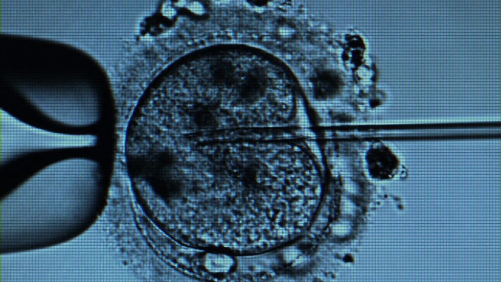
Насамперед майбутні батьки повинні об’єднати яйцеклітину та сперматозоїд за допомогою запліднення in vitro. Це дозволить відбирати лише життєздатні та генетично кращі ембріони.

ЕКЗ можна використовувати для створення генетично хороших ембріонів (фото: scienceandstuff.com)
Аль-Гайлі уточнює, що генетично кращими ембріонами є перш за все ті, які не мають генетичних проблем, які можуть призвести до викидня. Однак цей процес також можна використовувати для скринінгу вроджених вад.
В EctoLife дитина буде отримувати всі поживні речовини відповідно до її потреб. Також буде можливість моніторити фізичні особливості дитини та відстежувати будь-які потенційні відхилення від норми.
Всередині EctoLife будуть розміщені камери, які дозволять батькам відчути те, що бачить і чує їхня дитина. А ще за розвитком малюка можна буде спостерігати через мобільний застосунок.
Ба більше — батьки навіть зможуть відтворювати власні голоси через динаміки, щоб дитина до них звикала.

Модель додатка для спостереження за розвитком дитини (фото: scienceandstuff.com)
